Cecina servizi sanitari srl

Home
Data esame: 06/05/2020 Accesso: 3.279/2020 Id Paziente: 50273
Cognome e Nome: PICCHI^OMAR Data nascita: 26/05/1974 Sesso: Maschio
Esami: RMN BACINO
Pagina iniziale Dicom viewer Referto in PDF Istruzioni viewer

Referto

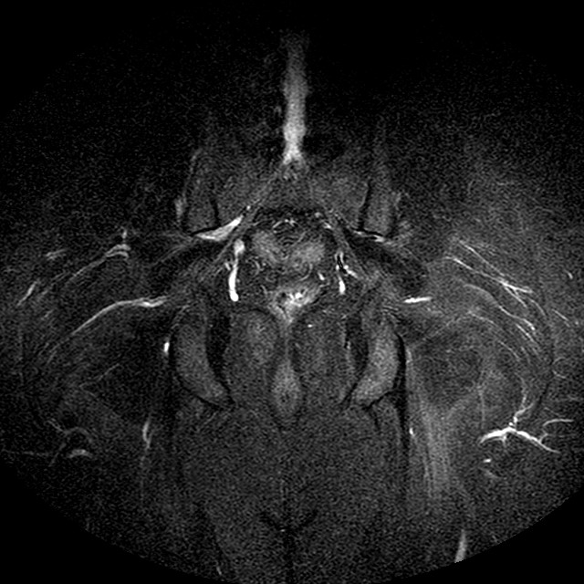
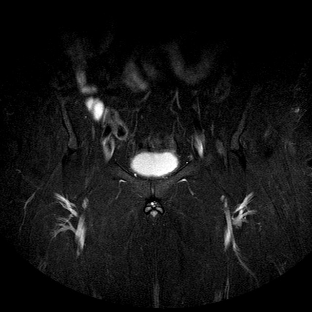
STIR

Evidenti e simmetriche alterazioni osteofitosiche in regione coxo femorale con riduzione delle rime articolari. Degenerazione completa del cercine glenoideo. Non attuali segni di versamento articolare. Non segni di edema osseo che escludono attuale algodistrofia od osteonecrosi. Lieve e simmetrica riduzione del trofismo della muscolatura glutea.




















Piazza Alessandrini 13 – 57123 Cecina (Li)